Skip to content
  • (816) 477-6453
  • Patient Login
  • Payment Calculator
Complimentary Consult
  • Our Practice
    • Who We Are
    • What Makes Us Different
    • Meet Dr. Simmons
    • Our Technology
  • Orthodontics
        • Braces
          • Types Of Braces
          • Braces For Kids
          • Braces For Teens
          • Braces For Adults
          • Braces FAQ
        • Invisalign
          • About Invisalign
          • Invisalign For Kids
          • Invisalign For Teens
          • Invisalign For Adults
          • Invisalign FAQ
        • Other Treatments
          • TMJ Therapy
          • Types Of Appliances
          • Sleep Appliances
          • White Spot Correction
  • Patient Resources
    • Your First Visit
    • Virtual Consult
    • Patient Forms
    • Financial Info
    • Emergency Care
    • Instructional Videos
  • Contact Us
    • Contact Info
    • Belton, MO
    • Kansas City, MO
    • Kansas City North, MO
    • Lee’s Summit, MO
  • Complimentary Consult
  • Our Practice
    • Who We Are
    • What Makes Us Different
    • Meet Dr. Simmons
    • Our Technology
  • Orthodontics
    • Braces
      • Types Of Braces
      • Braces For Kids
      • Braces For Teens
      • Braces For Adults
      • Braces FAQ
      • Payment Calculator
    • Invisalign
      • About Invisalign
      • Invisalign For Kids
      • Invisalign For Teens
      • Invisalign For Adults
      • Invisalign FAQ
      • Payment Calculator
    • Other Treatments
      • TMJ Therapy
      • Types Of Appliances
      • Sleep Appliances
      • White Spot Correction
  • Patient Resources
    • Your First Visit
    • Virtual Consult
    • Patient Forms
    • Financial Info
    • Emergency Care
    • Instructional Videos
  • Contact Us
    • Contact Info
    • Belton, MO
    • Kansas City, MO
    • Kansas City North, MO
    • Lee’s Summit, MO
  • (816) 477-6453
  • Patient Login
  • Payment Calculator
Complimentary Consult
  • Facebook
  • Instagram

White Spot Correction

Home » Other Treatments » White Spot Correction
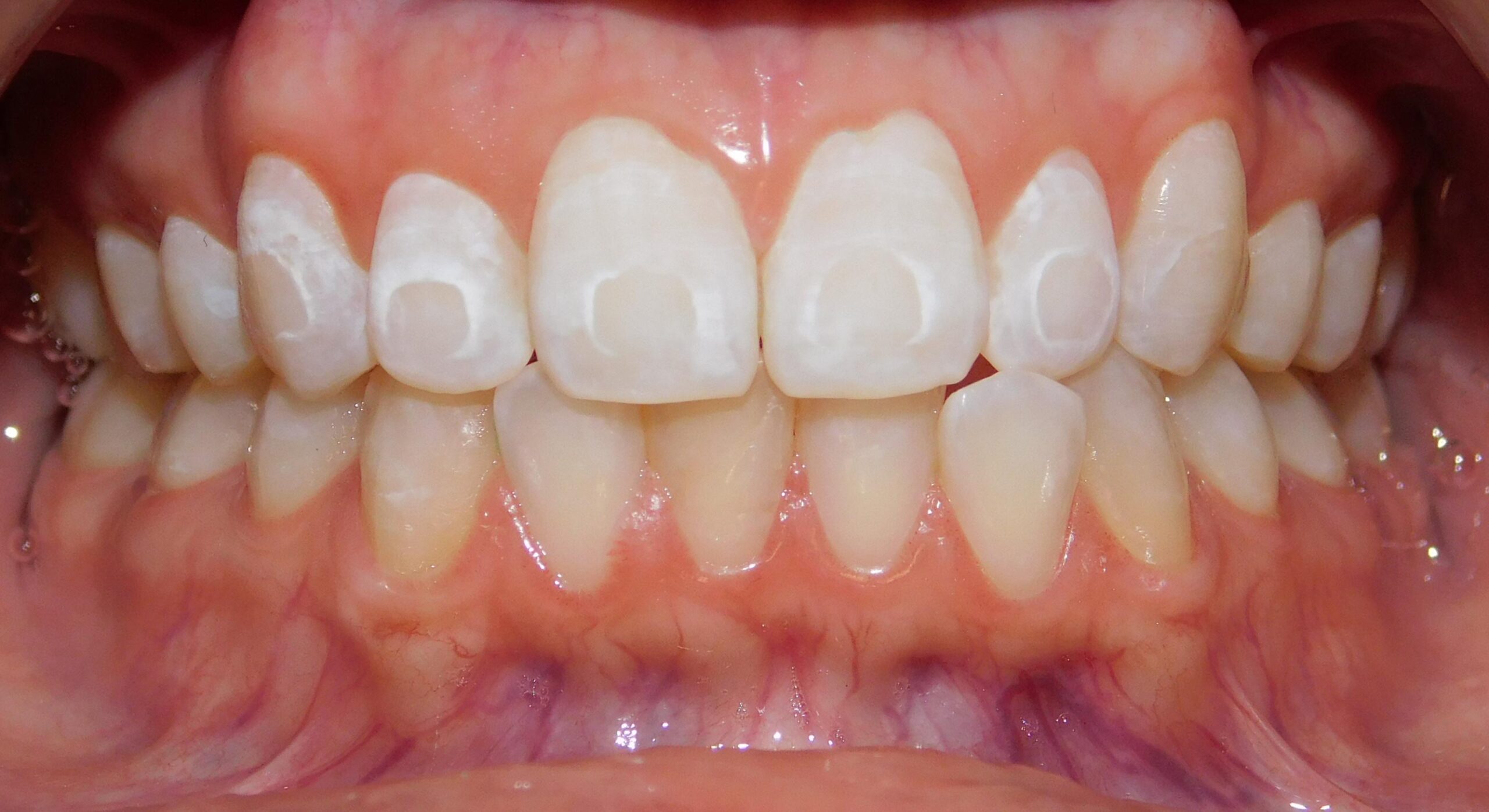
White Spot Correction Before
Before
White Spot Correction After
After

White Spot Correction

Did you have braces in the past and discoloration remained on the teeth due to decalcification? We have a treatment that can reduce and in some cases eliminate the appearance of enamel scarring still present on the teeth.

 

request an appointment

Get Started Today!

We know your schedule is busy, so we’ve made it easy for you and your family to get started! Simply request a complimentary consultation and we’ll take care of the rest!

Complimentary Consult
patient REVIEWS

Our 5-Star Experience

Check out what our patients are saying about their 5-star experience with Dr. Simmons and our awesome team.

review
Read More
review

Kansas City

Kansas City North

Lee's Summit

Belton

our location

Come Visit Us

We look forward to meeting you and helping you get started with treatment!

Locations
Belton
  • 622 E. Markey Parkway
    Belton, MO 64012
Kansas City
  • 1142 E. 47th Terr
    Kansas City, MO 64110
Kansas City - North
  • 9401 N. Oak Trafficway suite 120
    Kansas City, MO 64155
Lee's Summit
  • 3500 NE Ralph Powell Rd. Suite B
    Lee's Summit, MO 64064
Phone
  • (816) 477-6453
Contact Hours
Monday 9:00am – 5:00pm
Tuesday 9:00am – 5:00pm
Wednesday 9:00am – 5:00pm
Thursday 9:00am – 5:00pm
footer-map
Complimentary Consult
Quick Links
Main Menu
  • Our Practice
  • Orthodontics
  • Patient Resources
  • Contact Us
Contact Info
  • Kansas City, MO
  • North Kansas City, MO
  • Lee's Summit, MO
  • Belton, MO
  • (816) 477-6453
Follow Us
American Dental Agency
American association of orthodontists
American board of orthodontists
Invisalign®
Orthodontic Faculty

© Copyright 2026 Kinetic Braces | Sitemap | Privacy Policy | Notice of Privacy Practices | Accessibility

Orthodontic Marketing & Web Design by HIP